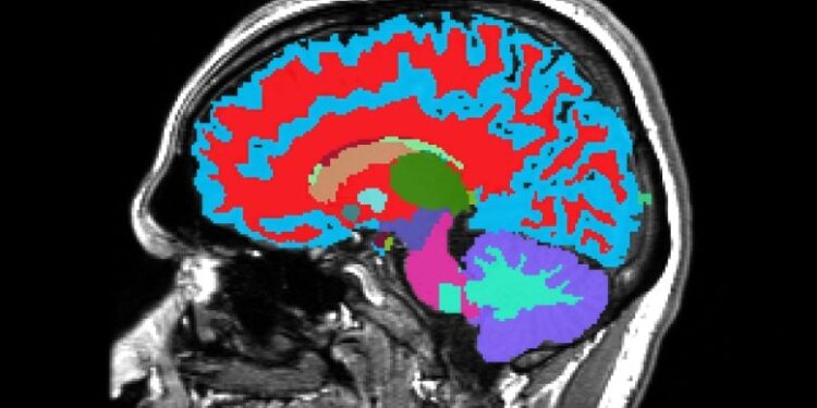
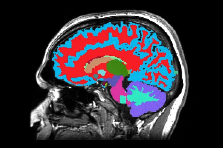
Researchers have created a brand new software that reads how briskly you’re ageing, utilizing only one mind scan. The scan can spot indicators of future illnesses like dementia earlier than signs seem. Folks ageing quicker had weaker reminiscence, extra well being issues, and even a better danger of early loss of life. The software works throughout totally different nations and backgrounds, […]
Source link
Inflammatory bowel illness (IBD) is a persistent situation involving irregular immune-driven irritation of the gastrointestinal tract, mostly seen in Crohn’s illness and ulcerative colitis. It outcomes from interactions...
Read more










